Porcelain Crowns
Applied Procedures:
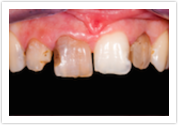
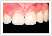
Porcelain Crowns
![]() |
![]() |
| Before Photo | After Photo |
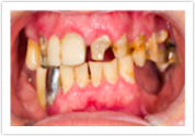
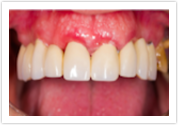
Applied Procedures:
Porcelain Crowns
![]() |
![]() |
| Before Photo | After Photo |
![]() |
![]() |
| Before Photo | After Photo |





